தலைவலி – வகைகள் & காரணம் – தீர்வு

5 Min Read

மருத்துவர் கு.தெய்வீகன்
முன்னாள் பேராசிரியர் & துறைத் தலைவர், நரம்பியல் துறை,

மனிதனின் எண்சாண் உடலுக்கு சிரசே (தலை) பிரதானம். தலைவலி என்பது பெரும் வேதனை. அவை நமது அன்றாட வாழ்க்கையை வெகுவாக பாதிக்கக் கூடும். தலைவலியில் பல்வேறு வகைகள் உள்ளன. ஒவ்வொன்றிற்கும் அதற்கே உரிய தனித்துவமான அறிகுறிகளும் காரணங்களும் உண்டு.

தலைவலியின் வகைகள், காரணங்கள், நோயறிதல் மற்றும் சிகிச்சை முறைகள் குறித்து தெரிந்து கொள்வது அவசியம்.

டென்ஷன் (TENSION) (பதற்றத் தலைவலிகள்): இவை பொதுவான தலைவலியாகும். பெரும்பாலும் பெண்களுக்கும் வயது  குறைந்தவர்களுக்கும் வரும். கழுத்து மற்றும் பின்தலையில் ஏற்படும் பதற்றம், கவலை அல்லது தசை இறுக்கம் ஆகியவற்றால் இவை ஏற்படுகின்றன.

மருத்துவம்

சிந்திக்கும்பொழுதும் அல்லது வேலைப் பளு இருக்கும்போதும் இது அதிகமாகும். வலியைத் தவிர கோபம் அதிகமாக வரும். இதற்கு கவுன்சிலிங் அவசியம். அதிகம் வலி உள்ளவர்களுக்கு வலி நிவாரணி மாத்திரைகளை எடுத்துக் கொண்டால் சரியாகும்.

உயர் குருதி அழுத்தம் (HYPER TENSION) : தலைவலிக்கு முக்கியமான காரணம், உயர் குருதி அழுத்தம். குருதி அழுத்தம் சிறிது சிறிதாக அதிகமானால் மருத்துவப் பயனாளிகள் தலைவலியை அதிகமாக உணருகின்றனர். இதற்கு மருந்துக் கடைகளில் தலைவலி மாத்திரைகளை வாங்கி உபயோகப்படுத்துகின்றனர். வலியும் குறைகிறது. நடுத்தர வயது உள்ளவர்களுக்கு இது மிகவும் அதிகமாக காணப்படுகிறது.

மருத்துவம்

பரம்பரை நோய்: உடல் பருமனாக இருப்பவர்களுக்கு குருதி அழுத்தம் வர சாத்தியக் கூறுகள் அதிகம். குருதி அழுத்தம் பரம்பரை நோய். பெற்றோருக்கு குருதி அழுத்தம் இருந்தால் அவர்கள் குழந்தைகளுக்கும் குருதி அழுத்தம் வர வாய்ப்பு இருக்கும்.

குருதி அழுத்தம் உள்ளவர்கள்: உணவில் உப்பை பாதிதான் சேர்க்க வேண்டும். நொறுக்குத் தீனி சாப்பிடக் கூடாது. கொழுப்புள்ள உணவுகளைத் தவிர்க்க வேண்டும். குருதி அழுத்தத்தை கட்டுப்பாடிற்குள் வைத்துக் கொள்ள சிறந்த மருந்துகள் இருக்கின்றன. மருத்துவப் பயனாளிகளின் வயதைப் பொறுத்து மருந்துகள், மாத்திரைகளை மருத்துவரின் ஆலோசனையின்படி எடுத்துக் கொள்ள வேண்டும்.

குருதி அழுத்தத்தை கட்டுப்பாட்டிற்குள் வைத்திராத பட்சத்தில் மூளையில் குருதிக் குழாய் அடைப்பு எற்பட்டு, மூளையில் குருதிக் குழாய் வெடித்து பக்கவாத நோய் எற்பட வாய்ப்புண்டு. பெரும்பாலும் குருதி அழுத்த நோய் உள்ளவர்கள் வாழ்நாள் முழுவதும் மாத்திரை சாப்பிட வேண்டும்.

ஒற்றைத் தலைவலி (MIGRAINE) : ஒற்றைத் தலைவலி தாங்க முடியாத வேதனையையும் உடலை செயலிழக்கச் செய்யும் தன்மையுடைய ஒருவகை தலைவலி ஆகும். இந்த ஒற்றைத் தலைவலி 6, 7 வகைப்படும். இதில் மிகவும் அதிகமாக காணப்படக்கூடிய ஒற்றைத் தலைவலி என்பது  கிளாசிகல் மைக்ரன் (Classical Migraine) என்று அழைக்கும் வகையாகும். இது பெரும்பாலும் பெண்களுக்கு வரும். 20 வயதில் தொடங்கி 50 வயதில் சரியாகிவிடும். இந்தத் தலைவலியானது பெரும்பாலும் தலையில் ஒரு பகுதியில் வரும். வலது அல்லது இடது தலையில் வரக்கூடும். இது ஆரம்பித்து ஒரு சில மணி நேரத்தில் வலியின் வீரியம் அதிகமாகும். அப்போது கோபம், எரிச்சல் அதிகமாக வரும். வெளிச்சத்தைப் பார்த்தால் கண்கள் கூசும். சப்தம் கேட்டால் வலி அதிகமாகிவிடும்.

தலைவலி உச்சத்தை அடையும்போது கண்டிப்பாக வாந்தி வரும். வாந்தி வந்தவுடன் தலைவலி குறைந்து விடும். சிலருக்கு இது மாதத்திற்கு ஒருமுறை அல்லது இருமுறை வரும். இந்த மருத்துவப் பயனாளிகளுக்கு தலைவலி வரும்போதே ஒற்றைத் தலைவலிதான் என்று தெரியும்.மாதம் ஒருமுறை, இருமுறை தலைவலி வருபவர்களுக்கு தொடர் வைத்தியம் தேவை இல்லை.

அடிக்கடி தலைவலி வருபவர்களுக்குத் தொடர்ந்து 2 அல்லது 3 மாதங்கள் மாத்திரை சாப்பிட வேண்டியது இருக்கும். சில உணவுப்பொருட்கள், சாக்லேட், சாக்லேட் சேர்க்கப்பட்டு இருக்கும் குளிர் பானங்கள், அய்ஸ்கிரீம், பாலாடைக் கட்டி சேர்க்கப்பட்டு இருக்கும் உணவு, பர்க்கர், பீஸ்ஸா (Pizza), பதப்படுத்தப்பட்ட உணவுகள், சிப்ஸ் போன்றவை சாப்பிட்டால் இந்த மருத்துவப் பயனாளிகளுக்கு தலைவலி உடனே வர வாய்ப்புள்ளது. இதை மருத்துவர்கள் மருத்துவப் பயனாளிகளிடம் கேட்டு அறிந்து அறிவுரை கூறித் தவிர்க்க சொல்ல வேண்டும்.

Cluster Headache : இது ஒரு வகையான தலைவலி நோய். இது ஆண்டுக்கு 2 அல்லது 3 முறைதான் வரும். இது வரும்போது சுமார் 10 நாள், 15 நாள் நீடிக்கும். இந்தத் தலைவலியானது கண் சிவத்தல், மூக்கு அடைத்தல், மூக்கில் தண்ணீர் வருவது இவற்றுடன் சேர்ந்து வரும். இதற்கும் உணவுப் பழக்கத்துக்கும் சம்பந்தம் கிடையாது. பெரும்பாலும் இந்தத் தலைவலி ஆண்டுக்காண்டு அதே மாதத்தில்தான் வரும். இதற்கு சரியான மருந்து கொடுத்தால் நிவாரணம் கிடைக்கும்.

கிளாக்கோமா (Claucoma):  கிளாக்கோமா என்பது கண்ணிற்குள் அழுத்தம் அதிகமாக ஏற்படும் நோயாகும். இந்த நோய் மிகவும் முக்கியமான தலைவலி நோயாகும். பெரும்பாலும் மருத்துவர்கள் இதை உடனடியாக கண்டுபிடிப்பது இல்லை. கிளாக்கோமாவினால் வரக்கூடிய தலைவலி கண்களைக் சுற்றி இருக்கும் கிளாக்கோமா இரு வகைப்படும். 1. Open Angle Claucoma, 2. Closed Angle Claucoma. இதில் Closed Angle Claucoma அறுவை சிகிச்சை மூலமாக குணப்படுத்த முடியும். கிளாக்கோமா வியாதி பரம்பரை வியாதி. இந்த வியாதி இருப்பவர்களின் குழந்தைகளுக்கும் பரிசோதனை செய்துகொள்ள வேண்டும்.

கிளாக்கோமா வியாதி பக்கவாட்டில் இருந்து பார்வையைக் குறைப்பதால் பார்வை முழுவதையும் இழக்கும் வரை மருத்துவப் பயனாளிகளால் கண்டுபிடிக்க முடியாது. இந்த வியாதியால் பாதிக்கப்பட்டவர்கள் சில சிறப்பு கண் பரிசோதனை 6 மாதத்துக்கு ஒருமுறை வாழ்நாள் முழுக்க செய்து கொள்ள வேண்டும்.

மேலும் அவர்கள் வாழ்நாள் முழுவதும் கண்களுக்கு சொட்டு மருந்து போட்டுக் கொள்ள வேண்டும். கிளாக்கோமா மருத்துவப் பயனாளிகள் ஒன்று அல்லது 2 கண்களையும் பாதிக்கும்.

சைனசைடிஸ் (Sinusitis) : சைனசைடிஸ் தலைவலி உள்ளவர்கள் “எனக்கு சைனஸ் இருக்கு” என்று சொல்லக் கேள்விப்பட்டு இருக்கிறோம். சைனஸ் என்பது தலையில் உள்ள எலும்புகளில் பாரம் அதிகம் ஆகாமல் இருப்பதற்காக காற்று உள்ள பகுதியாகும்.

சைனஸ் அனைவருக்கும் இருக்கும் இந்த சைனசில் தொற்று ஏற்பட்டால் அதற்கு பெயர் சைனஸ் சைனசைடிஸ் (Sinusitis) மருத்துவப் பயனாளிகளுக்குப் பெரும்பாலும் முகத்தில்தான் வலி இருக்கும். இந்த வலியானது ஆவி பிடித்தால் குறையும். இவர்களுக்கு அடிக்கடி சளி பிடிக்கும்.

இந்த தலைவலியானது தலையை கீழே கவிழ்த்தால் பாரம் அதிகமாக இருக்கும். பெரும்பாலானவர்களுக்கு இது மாத்திரை மருந்துகளில் குணமாகிவிடும். ஒரு சிலருக்கு அறுவை சிகிச்சை தேவைப்படலாம்.

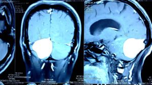
மூளையில் கட்டி: தலைவலிகளிலேயே மிகவும் அபாயகரமானது மூளையில் கட்டிகளால் வரக்கூடிய தலைவலியே ஆகும். ஏனென்றால் ஆரம்ப காலக் கட்டத்தில் மற்ற சாதாரண தலைவலி மாத்திரைகளுக்கே கட்டுப்படும். அதனால் மருத்துவப் பயனாளிகள் அலட்சியமாக இருப்பதற்கு வாய்ப்பு அதிகம். இவ்வகையான தலைவலிகளுக்கு சில அறிகுறிகள் உள்ளன.

நெற்றிப்பொட்டில் வலி: காலையில் எழுந்தவுடன் நெற்றிப் பொட்டில் அதிக வலி இருக்கும். வாந்தி வரும். வாந்தி எடுத்தவுடன் தலைவலி குறையும். தலைவலி மிகவும் அதிகமாகும் தருணத்தில் கண் பார்வை மங்குவதற்கான வாய்ப்புண்டு. இம்மாதிரியான மருத்துவப் பயனாளிகளுக்கு கூடுதலாக கீழ்க்கண்ட சில அறிகுறிகள் இருக்கலாம்.

  1. வலிப்பு நோய். 2.கண்பார்வை மங்குதல். 3.காது சரியாக கேட்காமல் இருப்பது. 4. நடந்தால் தடுமாற்றம் ஏற்படுவது. 5. கை, கால்களில் பலம் குறைவாக இருப்பது. சொரணை குறைவாக இருப்பது போன்ற அறிகுறிகள் இருக்கலாம்.

இந்த மருத்துவப் பயனாளிகளை அவசரமாக சி.டி. ஸ்கேன் எடுத்து வைத்தியம் செய்ய வேண்டும்.

விடுதலை வளர்ச்சிக்கு உரமிடுங்கள்..

அன்பார்ந்த தோழர்களே, தந்தை பெரியார் அவர்களால் தொடங்கப்பட்டு, திராவிட இயக்கத்தின் முதன்மைக் குரலாக, உலகின் முதல் மற்றும் ஒரே பகுத்தறிவு நாளேடாக திகழ்ந்து வருகிறது "விடுதலை" நாளேடு.

"விடுதலை" என்பது ஒரு நாளேடு மட்டுமல்ல; இது ஒரு இயக்கம். விடுதலை தன் பணியைத் தொய்வு இன்றித் தொடர, உங்கள் பொருளாதார பங்களிப்பு மிகத் தேவை. பெரியார் தொடங்கி வளர்த்த விடுதலையை உரமிட்டு இன்னும் வளர்க்க வேண்டிய கடமை நமக்கு இருக்கிறது. உங்கள் நன்கொடை அந்த வளர்ச்சிக்கு உதவும்.

தொகை எவ்வளவு என்பது முக்கியமல்ல! உங்கள் பங்களிப்பே முக்கியம்! நீங்கள் தரும் ஒவ்வொரு ரூபாயும் சமூகநீதிச் சுடரை ஒளிர வைக்கும். நன்றி!

இணையம்வழி விடுதலை வளர்ச்சி நிதி தந்தவர்கள் பட்டியல் காண  

Leave a Comment

Leave a Reply

Your email address will not be published. Required fields are marked *